¿Cómo puedo eliminar la placa y mejorar mi salud oral?
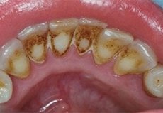
La placa es la acumulación de residuos alimenticios en las superficies internas y externas de los dientes. Esta enfermedad bucal puede provocar mal aliento y también puede desarrollar otro tipo de afecciones de la misma condición —como el sarro—, que se desarrolla cuando esos residuos alimenticios se endurecen y se calcinan en los dientes provocando sangrado y halitosis.
Aunque no hay una solución definitiva para evitar el desarrollo de la placa en los dientes, se puede realizar una serie de procedimientos caseros para disminuir la acumulación de estos residuos en la boca y así evitar que esta enfermedad avance. ¿Te animas a conocer más al respecto?
Lo mejor que puedes hacer es cambiar la manera en la que cepillas usualmente tus dientes; la mayoría de las personas, cuando nos cepillamos, siempre lo hacemos de forma horizontal y de izquierda a derecha, pero muchos no saben que, al hacerlo así, podemos aumentar la sensibilidad en los dientes y posiblemente mal oclusión en estos.
Cepillaremos nuestros dientes de manera vertical, primero la parte de arriba y luego la parte de abajo, y las muelas en forma circular, terminaremos siempre la higiene oral con seda dental para eliminar los posibles residuos que se encuentren en los espacios poco accesibles. Cuando termines, usa enjuague bucal y siempre debes enjuagar tu cepillo para limpiarlo de residuos que hayan quedado en este.
Nota: Cambia tu cepillo por lo menos cuatro veces al año y utiliza una pasta dental que contenga fluoruro.
CAMBIA TU ALIMENTACIÓN
Llevar una dieta equilibrada es lo mejor que puede hacer para fortalecer tu salud dental. Trata de no consumir azúcar y carbohidratos, consume bebidas que no sean oscuras ni gaseosas y, si lo vas a hacer, hazlo con una pajilla o popote para que estos no tengan contacto directo con tus dientes. No consumas demasiados alimentos con harinas y aglutinantes, y si lo haces, no olvides lavar sus dientes después para evitar enfermedades o infecciones bacterianas.
¿CÓMO PUEDO COMPLEMENTAR MI SALUD ORAL?
Los remedios caseros, a veces, son bastante efectivos cuando se trata de combatir este tipo de afecciones bucales como la placa, pero es muy importante no excederse en cantidades para que estos no terminen vulnerando la salud de tus dientes en vez de mejorarla. Algunos de los remedios caseros que se utilizan para combatir la placa y mejorar la salud dental son:
GOMA DE MASCAR
Para algunos resulta un tanto conflictivo, pero un reciente estudio demuestra que la goma de mascar con cero azúcar ayuda a disminuir la producción de la placa en nuestros dientes. Basta con mascar después de cada comida para que los residuos de alimentos que se encuentren alojados en nuestros dientes se liberen fácilmente para luego terminar de retirarlos por completo con el cepillado.
BICARBONATO DE SODIO
Cuando te vayas a cepillar los dientes, agrega un poco de bicarbonato de sodio en la pasta dental (muy poco). El bicarbonato de sodio disuelve todos los residuos de los dientes y, además, ayuda con el blanqueamiento de manera significativa. Puedes hacer esto una vez por semana antes de irte a dormir, pero recuerda que la cantidad de bicarbonato usada no debe ser excesiva, al igual que la frecuencia de su aplicación.
LIMÓN
El zumo de limón es perfecto para combatir la placa y también el sarro de los dientes. La acidez del limón contiene propiedades abrasivas que limpian nuestra boca en profundidad. Además, le proporciona brillo, elimina el mal aliento y también puede blanquear los dientes. Basta con hacerlo una vez por semana para disminuir la creación de placa poco a poco, sin llegar a ser excesivos en su aplicación, pues puede generar el efecto contrario en nuestros dientes.
¡RECUÉRDALO!
Existen muy pocos métodos y remedios caseros para limpiar, blanquear y evitar enfermedades que perjudiquen nuestra salud oral. Lo mejor que podemos hacer para tener unos dientes sanos es programar una visita cada seis meses con tu odontólogo: no hay nada mejor que una limpieza profesional para eliminar por completo enfermedades tan incómodas y perjudiciales como lo es la placa.



